Beyin omurilik sıvısı akması nasıl anlaşılır? belirtileri nelerdir?
Beyin omurilik sıvısının akması, merkezi sinir sisteminin işlevselliğini etkileyen ciddi bir durumdur. Bu yazıda, akmanın nedenleri, belirtileri, tanı ve tedavi yöntemleri ele alınarak, erken teşhisin önemi vurgulanmaktadır. Bilgilendirici içerik sunulmuştur.
Beyin Omurilik Sıvısı Akması: Anlama ve BelirtilerBeyin omurilik sıvısı (BOS), merkezi sinir sistemi içerisinde yer alan ve beyin ile omuriliği koruyan, besleyen ve atık ürünleri temizleyen önemli bir sıvıdır. BOS'un akması, genellikle travma, cerrahi müdahale veya bazı sağlık sorunları sonucu meydana gelebilir. Bu durum, sinir sisteminin işlevselliğini etkileyebilir ve belirli semptomlarla kendini gösterebilir. Bu makalede, beyin omurilik sıvısı akmasının nasıl anlaşılabileceği ve belirtilerinin neler olduğu incelenecektir. Beyin Omurilik Sıvısı Akmasının NedenleriBeyin omurilik sıvısı akmasının başlıca nedenleri şunlardır:
Beyin Omurilik Sıvısı Akmasının BelirtileriBeyin omurilik sıvısı akmasının belirtileri, sıvının akış yönüne ve akış miktarına bağlı olarak değişiklik gösterebilir. Genel olarak, aşağıdaki semptomlar gözlemlenebilir:
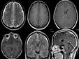
Tanı YöntemleriBeyin omurilik sıvısı akması şüphesi durumunda, çeşitli tanı yöntemleri kullanılmaktadır:
Tedavi YöntemleriBeyin omurilik sıvısı akmasının tedavisi, altta yatan nedene bağlı olarak değişiklik göstermektedir. Genel tedavi yöntemleri şunlardır:
SonuçBeyin omurilik sıvısı akması, ciddi sağlık sorunlarına neden olabilecek bir durumdur. Belirtilerin farkında olmak ve gerektiğinde tıbbi yardım almak önemlidir. Erken teşhis ve uygun tedavi ile hastaların yaşam kalitesi artırılabilir. Beyin omurilik sıvısının sağlıklı bir şekilde akması, merkezi sinir sisteminin düzgün çalışması açısından kritik öneme sahiptir. Ek BilgilerBeyin omurilik sıvısı akması ile ilgili daha fazla bilgi almak ve tedavi seçeneklerini değerlendirmek için bir nöroloji uzmanına danışmak önerilmektedir. Ayrıca, bu durumun önlenmesi için baş ve omurga yaralanmalarına karşı dikkatli olmak, düzenli sağlık kontrolleri yapmak ve sağlık sorunları hakkında bilgi sahibi olmak önemlidir. |















































Beyin omurilik sıvısı akması durumunu yaşamış biri olarak, bu sürecin ne kadar zorlayıcı olduğunu söyleyebilirim. Özellikle belirtiler arasında yer alan şiddetli baş ağrıları ve boyun sertliği, günlük yaşamı ciddi şekilde etkiliyor. Pozisyon değiştirildiğinde artan baş ağrısı, insanı gerçekten çaresiz hissettirebiliyor. Denge problemleri de yaşarken, her adımda dikkatli olmak gerekiyor. Belirtilerin farkında olmak ve zamanında tıbbi yardım almak çok önemli. Tedavi süreci ise kişiden kişiye değişiyor; bazıları ilaç tedavisi ile iyileşirken, bazıları cerrahi müdahale gerektirebiliyor. Bu durumla ilgili bilgi almak ve uygun tedavi yöntemlerini değerlendirmek için bir nöroloji uzmanına danışmanın faydası büyük. Duygusal olarak da zorlu bir dönem, bu yüzden destek almak çok önemli. Bu tür sağlık sorunlarıyla mücadele edenler için dayanışmanın ve bilgi paylaşımının ne kadar kıymetli olduğunu düşünüyorum.
Merhaba Özbir,
Yaşadığınız bu zorlu süreç, gerçekten de hem fiziksel hem de duygusal olarak büyük bir yük taşıyor. Beyin omurilik sıvısının akması durumu, belirtilerinin günlük yaşam üzerindeki etkisiyle birlikte oldukça zorlayıcı bir deneyim. Şiddetli baş ağrıları ve boyun sertliği gibi semptomlar, yaşam kalitesini düşürmekte ve insanı çaresiz hissettirebilmektedir. Denge problemleri de eklenince, basit bir yürüyüş bile büyük bir dikkat ve özen gerektirmektedir.
Zamanında tıbbi yardım almak, bu tür sağlık sorunlarında son derece kritik bir adım. Her bireyin tedavi sürecinin farklılık göstermesi, kişisel yaklaşım ve ihtiyaçların önemini ortaya koyuyor. İlaç tedavisi veya cerrahi müdahale gibi seçeneklerin yanı sıra, bu sürecin duygusal boyutunu da göz önünde bulundurmak gerekiyor. Destek almak, bu zorlu dönemde yalnız olmadığınızı hissettirir ve dayanışmanın gücünü bir kez daha hatırlatır.
Bilgi paylaşımının ve dayanışmanın ne denli kıymetli olduğunu vurguladığınız için teşekkür ederim. Bu tür deneyimlerin, başkalarına yol gösterebileceği ve zorlukların üstesinden gelinmesinde rol oynayabileceği gerçeği de oldukça değerli. Geçmiş olsun dileklerimi sunuyorum ve umarım en kısa zamanda daha iyi hissedersiniz.